Onze tandartsen zijn erg gedreven in hun vakgebied.
Ze bieden u graag de beste zorg aan met het beste eindresultaat.
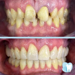
Benieuwd naar resultaten van onze tandartsen? Bekijk hier beneden enkele resultaten van tandheelkundige behandelingen.
Wat is een composiet facing?
Een facing is een laagje tandkleurig vulmateriaal van composiet of een schildje van porselein. De tandarts plakt het vulmateriaal op de tand. Zo kan hij de vorm of de kleur van een tand veranderen. Ook kan hij spleetjes tussen tanden opvullen, afgebroken hoekjes repareren, gele of bruine tanden weer wit maken en scheve tanden maskeren.
Waarom tanden bleken bij een professional?
Om het beste bleekresultaat te krijgen wat u graag zou willen, is goed overleggen met uw tandarts de beste manier. Onze tandarts weet alles over uw mondgezondheid en kan u adviseren welke bleek methode het beste resultaat voor u oplevert, binnen een tijdsperiode die voor u werkt.
Onze tandarts kan u tevens uitleggen hoe het bleekproces verloopt, kan uw vooruitgang bewaken en kan inspelen op eventuele overgevoeligheid die zicht tijdens de behandeling voordoet.
Het kinderprogramma Glansje.
Glansje is een preventiemethode voor ieder individueel kind (en zijn/haar ouders).
Hierbij krijgt het kind persoonlijk advies over zijn/haar mondsituatie, denk hierbij aan een plaque-kleur-test, poetsinstructie(s), sealen van de kiezen, fluoride applicatie en/of professionele gebitsreining.
Als het kind goed zijn/haar best heeft gedaan, wordt dit beloond met een poetsdiploma!
Bekijk hier beneden enkele resultaten van o.a. “composiet facings” , “tanden bleken” , “poetsdiploma” , “Aligners” , “White Spots”en “trauma’s “.
Mooi bleekresultaat06-08-2021
Geweldig, wat een mooi resultaat naar 1 week thuis bleken!
Zou uzelf dit ook willen? Vraag aan onze tandarts naar de mogelijkheden of neem telefonisch contact op voor meer informatie.

11-06-2021
Deze meneer had de wens om weer met een mooi gebit te glimlachten.
Vanwege slijtage had hij een íngezakte’ beet, waardoor wij middels kronen op de grote kiezen de beet weer wat hebben verhoogd.
Hierdoor hebben we genoeg ruimte gekregen om de rest van zijn tanden op te bouwen met composiet.
Porseleine facings22-09-2020
WAUW, wat een mooi resultaat!
White Spots07-01-2020
Witte vlekjes op uw tanden of bij uw kind(eren)?
Via een pijnloze, snelle en esthetische behandeling kan onze tandarts uw witte vlekjes laten verdwijnen als sneeuw voor de zon*.
Het grote voordeel van deze behandel methode is dat er niet in de tand(en) geboord hoeft te worden.
Wilt u meer informatie over deze behandeling? Vraag aan uw tandarts of deze behandeling mogelijk is bij u of uw kind.
* Het gewenste resultaat is bij ieder individu anders.
Fantastisch eindresultaat van professioneel thuis bleken!04-12-2019
Hierbij een geweldig resultaat na het professioneel thuis bleken van tanden!
Wil u ook uw tanden professioneel thuis bleken? Dat kan!
* Vraag voor meer informatie aan de balie of neem contact met ons op: 0475 – 211642
Trauma resultaat04-12-2019
Ongelukje met uw tanden gehad bijvoorbeeld tijdens het werken, sporten of iets anders?
Ook onze tandartsen helpen uw graag om weer een prachtig resultaat terug te krijgen.
Poetsdiploma Glansje04-07-2019
Deze kanjer heeft goed zijn best gedaan tijdens het kinderprogramma Glansje.
Je hebt het verdiend, ga zo door!
Tanden bleken28-06-2019
Zie hier een mooi behaald resultaat van professioneel thuis bleken!
Composietfacings in de bovenkaak06-05-2019
Zie hier het behaalde resultaat van composiet facings in de bovenkaak.